What Is a Root Canal? Easy Guide to Saving Your Tooth

What Is a Root Canal Easy Guide to Saving Your Tooth

Persistent tooth pain or sensitivity isn’t always just a simple cavity, it may be a sign of deeper damage within your tooth. When the inner part of the tooth becomes infected or inflamed, a root canal procedure may be necessary to relieve pain, protect your oral health, and save your natural tooth. If you’re experiencing symptoms, an Emergency Dentist in Soho can examine your condition and begin treatment quickly.

In this article, we’ll explore what is a root canal, what causes root canal treatment, how the tooth root canal process works, and why it’s often a better option than having the tooth extracted.

What Is a Root Canal and Why Is It Needed?

You might wonder, “What is a root canal?” or “What’s a root canal used for?” A root canal is a dental procedure that treats the infected or damaged tooth pulp, which is the soft tissue found inside your tooth. This pulp contains nerves, blood vessels, and connective tissue.

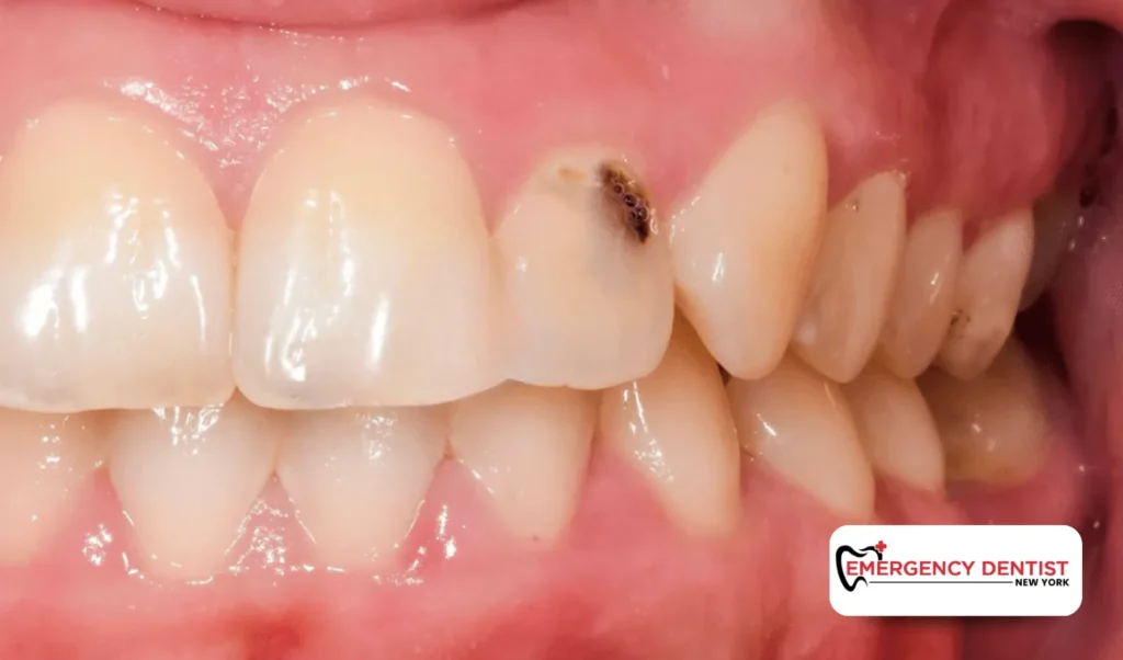
When the tooth pulp becomes infected due to tooth decay, cracks, trauma, or repeated procedures, it causes tooth pain, swelling, or sensitivity. Removing the infected pulp is often the only way to stop the pain and prevent further damage while keeping the outside of the tooth intact.

Root Canal Is for What Purpose?

So, root canal is for what purpose exactly? The main goals of root canal therapy are to:

  • Remove infection from inside the tooth
  • Relieve pain caused by inflammation
  • Prevent serious oral health issues like abscesses
  • Save your natural tooth instead of having it extracted

 

In short, root canal therapy helps treat an infected tooth and preserve your natural tooth structure.

What Causes Root Canal Treatment to Be Needed?

What Causes Root Canal Treatment to Be Needed

Knowing what causes root canal treatment can help you protect your oral health. Some of the most common causes include:

  • Deep tooth decay that reaches the tooth pulp
  • Cracked or chipped teeth from biting hard objects or injuries
  • Untreated cavities that get worse over time
  • Repeated dental procedures on the same tooth
  • Trauma or accidents caused by sports or falls

 

Even if you don’t feel tooth pain, damage may still be developing inside the tooth pulp. That’s why regular dental checkups with a general dentist or endodontist are so important.

How Is a Root Canal Done? Step-by-Step Tooth Root Canal Process

If you’re wondering how is a root canal done, here is a simple breakdown of the tooth root canal process:

 

 

A general dentist or root canal specialist examines the tooth and takes X-rays to locate infection and assess damage.

 

  • Local Anesthetic

 

Local anesthetic is used to numb the area so you remain comfortable and pain-free during the dental procedure.

 

  • Access and Cleaning

 

A small opening is made in the tooth. The infected tooth pulp is removed, and the inside is carefully cleaned.

 

  • Filling the Root

 

After cleaning, the space is filled with gutta percha, a rubber-like material that seals the canal and prevents reinfection.

 

  • Temporary Filling and Final Crown

 

A temporary filling is added to protect the treated tooth. Later, a crown is placed to strengthen and restore it, especially if it’s used for chewing.

Why You Should Not Leave an Infected Tooth Untreated

If an infected tooth is left untreated, the infection can spread to the jaw, face, or bloodstream, leading to serious health problems. Signs that you may need root canal therapy include:

  • Persistent tooth pain
  • Pain when chewing or biting
  • Swollen gums or face
  • Bad taste or odor in the mouth
  • Darkening of the affected tooth

 

If any of these symptoms occur, contact an Emergency Dentist in Soho for immediate evaluation and treatment.

Aftercare and Healing for a Treated Tooth

Aftercare and Healing for a Treated Tooth

After the root canal procedure, mild sensitivity or discomfort may occur for a few days. This is normal and usually improves with over-the-counter pain relievers.

To care for your treated tooth:

  • Avoid hard foods until a permanent crown is placed
  • Eat soft foods to avoid irritating the area
  • Brush and floss gently around the treated tooth
  • Attend follow-up appointments for proper restoration

 

Most people return to normal activities within 24 to 48 hours after treatment.

Root Canal vs. Tooth Extraction

While tooth extraction may seem like a quick fix, it often leads to more dental problems such as shifting teeth, difficulty chewing, and tooth loss. A root canal procedure allows you to keep your natural tooth, maintain normal function, and avoid future complications.

Saving your natural tooth is typically better for your appearance, comfort, and long-term oral health.

When to See an Emergency Dentist in Soho

Urgent care may be needed if you experience:

  • Severe or throbbing tooth pain
  • Facial swelling or pus discharge
  • Fever or signs of infection
  • Pain that worsens when lying down
  • Cracked or exposed inner tooth

 

An Emergency Dentist in Soho can quickly identify the issue, begin root canal therapy if needed, and help prevent tooth loss.

Conclusion

Understanding what is a root canal and how root canal therapy works can help reduce fear and encourage timely treatment. It’s a safe and effective dental procedure that removes infection, ends tooth pain, and helps save your natural tooth.

If you experience symptoms of an infected tooth, don’t wait. Early treatment protects your smile, improves comfort, and supports long-term oral health.

Emergency Dentist Quogue - logo
Emergency Dentist Quogue - logo

Please enter your name and phone number below to access our online booking portal.